Nâng cao chất lượng hình ảnh siêu âm
Hình ảnh siêu âm là một công nghệ y tế sử dụng sóng âm có tần số cao để tạo ra hình ảnh của các cơ quan và cấu trúc bên trong cơ thể con người.
Công nghệ này không gây ra tác động xạ ion, an toàn cho bệnh nhân và được sử dụng rộng rãi trong nhiều lĩnh vực y khoa.
Vai trò của hình ảnh siêu âm
Chẩn đoán bệnh
Được sử dụng để xem xét cơ thể bên trong và phát hiện các bất thường hoặc căn bệnh.
Nó giúp cung cấp thông tin chi tiết về kích thước, hình dạng và vị trí của các cơ quan, mô và mạch máu, từ đó giúp các chuyên gia y tế đưa ra chẩn đoán chính xác.
Hướng dẫn can thiệp
Hình ảnh siêu âm có thể được sử dụng để hướng dẫn các quá trình can thiệp như tiêm thuốc, tiêm chích hoặc thủ thuật.
Nó cho phép các y bác sĩ xem xét thực tế các cấu trúc bên trong cơ thể và định vị chính xác vị trí can thiệp.
Đánh giá hiệu quả điều trị
Được sử dụng để theo dõi hiệu quả của liệu pháp điều trị.
Nó cho phép các y bác sĩ xem xét những thay đổi trong kích thước, hình dạng và tổ chức của các cơ quan và mô sau khi điều trị.
Hướng dẫn phẫu thuật
Trong phẫu thuật có thể được sử dụng để hướng dẫn quá trình phẫu thuật.
Nó giúp xác định vị trí chính xác của các cơ quan và mạch máu, từ đó giúp giảm rủi ro và nâng cao kỹ thuật phẫu thuật.
Một số thiết bị Y tế ngoại vi phổ biến
Bộ lọc tia siêu âm
Bộ lọc tia siêu âm là một thiết bị y tế nâng cao chất lượng hình ảnh siêu âm bằng cách giảm nhiễu và tăng độ tương phản của hình ảnh.
Bộ lọc này hoạt động bằng cách loại bỏ các tia siêu âm không mong muốn và tăng cường các tia siêu âm có ích.
Cách hoạt động của bộ lọc tia siêu âm
- Bộ lọc tia siêu âm hoạt động bằng cách sử dụng các thuật toán phức tạp để phân tích và xử lý tín hiệu siêu âm.
- Khi tín hiệu siêu âm được nhận từ máy siêu âm, bộ lọc sẽ áp dụng các thuật toán để loại bỏ nhiễu và cải thiện độ tương phản của hình ảnh.
- Điều này giúp cung cấp cho bác sĩ một hình ảnh rõ ràng và chi tiết hơn về cơ thể của bệnh nhân.
Lợi ích của việc sử dụng bộ lọc tia siêu âm
- Nâng cao chất lượng hình ảnh: Bộ lọc tia siêu âm giúp loại bỏ nhiễu và tăng cường độ tương phản của hình ảnh, cung cấp cho bác sĩ một hình ảnh rõ ràng và chi tiết hơn về cơ thể của bệnh nhân.
- Đẩy nhanh quá trình chẩn đoán: Với chất lượng hình ảnh cải thiện, bác sĩ có thể dễ dàng nhận biết các vấn đề và bệnh lý trong cơ thể, từ đó đẩy nhanh quá trình chẩn đoán và điều trị.
- Giảm thiểu sai sót: Chất lượng hình ảnh cải thiện giúp giảm thiểu sai sót trong quá trình chẩn đoán, giúp gia tăng sự chính xác và tin cậy của kết quả.
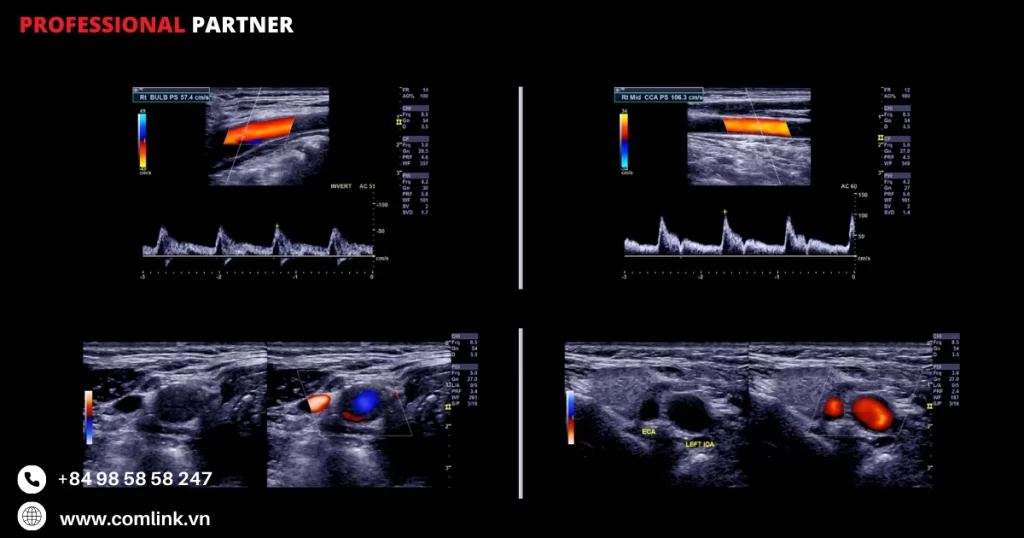
Máy quét Doppler màu
Máy quét Doppler màu là một thiết bị y tế nâng cao chất lượng hình ảnh siêu âm bằng cách hiển thị thông tin về dòng máu trong cơ thể.
Điều này giúp xác định các vấn đề về tuần hoàn máu, như sự suy thoái hoặc rối loạn tuần hoàn.
Cách hoạt động của máy quét Doppler màu
- Máy quét Doppler màu hoạt động bằng cách sử dụng nguyên lý Doppler để phát hiện và hiển thị thông tin về dòng máu trong cơ thể.
- Khi sóng siêu âm được phát vào cơ thể, máy quét sẽ nhận lại sóng phản xạ từ dòng máu.
- Dựa trên sự thay đổi tần số của sóng phản xạ, máy quét sẽ tính toán vận tốc và hướng chuyển động của dòng máu, từ đó hiển thị thông tin về tuần hoàn máu trên màn hình.
Lợi ích của việc sử dụng máy quét Doppler màu
- Xác định các vấn đề về tuần hoàn máu: Máy quét Doppler màu cho phép xem trực tiếp thông tin về dòng máu trong cơ thể, giúp xác định các vấn đề về tuần hoàn máu như suy thoái hoặc rối loạn tuần hoàn.
- Đánh giá hiệu suất tim: Thiết bị này cho phép xem thông tin về dòng máu trong tim, giúp đánh giá hiệu suất tim và xác định các vấn đề liên quan.
- Hướng dẫn can thiệp điều trị: Với thông tin về dòng máu được hiển thị trực tiếp, máy quét Doppler màu có thể hướng dẫn can thiệp điều trị, giúp cải thiện tuần hoàn máu và điều trị các vấn đề liên quan.
Máy quét 3D/4D
Máy quét 3D/4D là một thiết bị y tế nâng cao chất lượng hình ảnh siêu âm bằng cách tạo ra hình ảnh ba hoặc bốn chiều của cơ thể.
Điều này cho phép xem chi tiết và chính xác hơn về các khu vực và cơ quan trong cơ thể.
Cách hoạt động của máy quét 3D/4D
- Máy quét 3D/4D hoạt động bằng cách sử dụng công nghệ tiên tiến để thu thập thông tin từ nhiều góc độ khác nhau.
- Thông tin này sau đó được ghép lại thành hình ảnh ba hoặc bốn chiều trên màn hình.
- Điều này cho phép xem chi tiết và chính xác hơn về các khu vực và cơ quan trong cơ thể.
Lợi ích của việc sử dụng máy quét 3D/4D
- Hiển thị chi tiết và chính xác hơn: Máy quét 3D/4D cho phép xem chi tiết và chính xác hơn về các khu vực và cơ quan trong cơ thể, giúp phát hiện các vấn đề và bệnh lý một cách nhanh chóng và chính xác.
- Tạo ra hình ảnh sống động: Với công nghệ ba hoặc bốn chiều, máy quét 3D/4D tạo ra hình ảnh sống động, giúp người ta có cái nhìn rõ ràng và sinh động về cơ thể.
- Hỗ trợ trong quá trình chẩn đoán: Máy quét 3D/4D là công cụ hữu ích trong quá trình chẩn đoán, giúp bác sĩ có cái nhìn toàn diện về các khu vực và cơ quan trong cơ thể.
Máy chụp X-quang kỹ thuật số
Máy chụp X-quang kỹ thuật số là một thiết bị y tế nâng cao chất lượng hình ảnh siêu âm bằng cách sử dụng công nghệ kỹ thuật số để tạo ra hình ảnh X-quang chi tiết và rõ ràng.
Cách hoạt động của máy chụp X-quang kỹ thuật số
- Máy chụp X-quang kỹ thuật số hoạt động bằng cách sử dụng công nghệ kỹ thuật số để thu thập thông tin từ các tia X-quang đi qua cơ thể.
- Thông tin này sau đó được xử lý điện tử để tạo ra hình ảnh X-quang chi tiết và rõ ràng trên màn hình.
Lợi ích của việc sử dụng máy chụp X-quang kỹ thuật số
- Hình ảnh chi tiết và rõ ràng: Máy chụp X-quang kỹ thuật số cho phép tạo ra hình ảnh X-quang chi tiết và rõ ràng, giúp phát hiện các vấn đề và bệnh lý trong cơ thể.
- Tiết kiệm thời gian: Công nghệ kỹ thuật số cho phép xem ngay lập tức hình ảnh X-quang sau khi được chụp, giúp tiết kiệm thời gian so với việc phải xử lý film truyền thống.
- Dễ dàng lưu trữ và chia sẻ: Hình ảnh X-quang kỹ thuật số có thể được lưu trữ và chia sẻ dễ dàng qua hệ thống mạng, giúp tiện lợi trong việc theo dõi và chia sẻ kết quả chẩn đoán.
Lợi ích của thiết bị y tế ngoại vi
Tăng độ phân giải hình ảnh
Một trong những lợi ích quan trọng nhất của thiết bị y tế ngoại vi là khả năng tăng độ phân giải hình ảnh.
Độ phân giải hình ảnh là khả năng của hệ thống siêu âm hiển thị chi tiết các cấu trúc trong cơ thể bệnh nhân.
Với sự phát triển của công nghệ, các thiết bị y tế ngoại vi hiện nay có khả năng cung cấp độ phân giải cao hơn so với các thiết bị truyền thống.
Một số công nghệ mới như công nghệ kép, công nghệ tiên tiến xử lý tín hiệu và công nghệ kép xác định thời gian thực đã được áp dụng trong các thiết bị y tế ngoại vi để tăng cường độ phân giải hình ảnh.
Các công nghệ này giúp loại bỏ nhiễu hạt và tạo ra hình ảnh rõ ràng và sắc nét hơn, giúp bác sĩ dễ dàng nhận biết các dấu hiệu bất thường trong cơ thể bệnh nhân.
Giảm nhiễu hạt trong hình ảnh
Nhiễu hạt là một vấn đề lớn khiến cho việc chẩn đoán và theo dõi trở nên khó khăn.
Thiết bị y tế ngoại vi được thiết kế để giảm thiểu hoặc loại bỏ hoàn toàn hiện tượng này, từ đó cung cấp cho bác sĩ hình ảnh siêu âm rõ ràng và chính xác hơn.
Các thiết bị y tế ngoại vi sử dụng công nghệ tiên tiến như xử lý tín hiệu số, lọc thông tin và hợp nhất hình ảnh từ nhiều nguồn khác nhau để giảm thiểu nhiễu hạt.
Ngoài ra, các công nghệ như khử răng cưa và xử lý tín hiệu tiên tiến cũng được áp dụng để loại bỏ nhiễu hạt.
Kết quả là, bác sĩ có thể nhìn thấy các chi tiết nhỏ trong cơ thể bệnh nhân một cách rõ ràng và chính xác.
Cải thiện độ sắc nét và tương phản
Độ sắc nét và độ tương phản của là hai yếu tố quan trọng để chẩn đoán và theo dõi sự phát triển của các bệnh trạng.
Thiết bị y tế ngoại vi được thiết kế để cải thiện hai yếu tố này, từ đó giúp bác sĩ nhìn thấy các chi tiết một cách rõ ràng và dễ dàng.
Các công nghệ mới như công nghệ kép xử lý tín hiệu số và công nghệ kép xác định thời gian thực đã được tích hợp vào các thiết bị y tế ngoại vi để cải thiện độ sắc nét và độ tương phản.
Các công nghệ này giúp loại bỏ hiện tượng mờ mờ và làm sáng rõ ràng các chi tiết trong hình ảnh, từ đó giúp bác sĩ dễ dàng nhận biết các vấn đề sức khỏe trong cơ thể bệnh nhân.
Tăng khả năng chẩn đoán và theo dõi
Cuối cùng, một lợi ích quan trọng của thiết bị y tế ngoại vi là tăng khả năng chẩn đoán và theo dõi của bác sĩ.
Với những cải tiến về chất lượng hình ảnh, bác sĩ có thể dễ dàng nhìn thấy các chi tiết trong cơ thể bệnh nhân, từ đó giúp chẩn đoán và điều trị các vấn đề sức khỏe một cách chính xác.
Thiết bị y tế ngoại vi giúp bác sĩ xem xét các cấu trúc trong cơ thể bệnh nhân một cách chi tiết và rõ ràng.
Điều này không chỉ giúp chẩn đoán các vấn đề sức khỏe hiện có mà còn giúp theo dõi sự phát triển của các bệnh trạng theo thời gian.
Bác sĩ có thể theo dõi kích thước, hình dạng, và vị trí của các cấu trúc trong cơ thể để kiểm tra biến đổi và hiệu quả của liệu pháp.
Truyền dữ liệu vào ACCEL-VM500
Phân tích dữ liệu lớn Big Data
ACCEL-VM500 có khả năng phân tích dữ liệu lớn từ các thiết bị y tế ngoại vi để tạo ra thông tin chi tiết về cơ thể con người.
Điều này giúp các chuyên gia y tế hiểu rõ hơn về căn bệnh và sản xuất ra thông tin hữu ích để đưa ra quyết định điều trị.
So sánh với CSDL gen chuẩn
ACCEL-VM500 có khả năng so sánh dữ liệu gen được nhập vào với một cơ sở dữ liệu gen chuẩn để xây dựng mô hình liên kết căn bệnh và điều trị.
Điều này giúp các chuyên gia y tế xác định được mối liên kết giữa gen và căn bệnh, từ đó đưa ra quyết định điều trị phù hợp.
Xây dựng biểu đồ liên kết căn bệnh
ACCEL-VM500 có khả năng xây dựng biểu đồ liên kết căn bệnh từ dữ liệu gen và thông tin chi tiết về căn bệnh từ các thiết bị y tế.
Điều này giúp các chuyên gia y tế hiểu rõ hơn về căn bệnh và xác định được các mối liên kết mới giữa gen và căn bệnh.
Xây dựng mô hình dự đoán căn bệnh
ACCEL-VM500 có khả năng xây dựng mô hình dự đoán căn bệnh từ các thông tin chi tiết về căn bệnh và gen từ các thiết bị y tế.
Điều này giúp các chuyên gia y tế đưa ra những dự đoán về căn bệnh và điều trị, từ đó cải thiện hiệu suất điều trị và chăm sóc y tế.
Xây dựng mô hình liên kết căn bệnh
Thu thập thông tin chi tiết
Đầu tiên, thu thập thông tin chi tiết về căn bệnh từ các thiết bị y tế như máy siêu âm hoặc máy EKG
Thu thập thông tin gen từ người bệnh
Tiếp theo, thu thập thông tin gen từ người bệnh để so sánh với cơ sở dữ liệu gen chuẩn.
So sánh thông tin gen với CSDL gen chuẩn
Sử dụng ACCEL-VM500, so sánh thông tin gen từ người bệnh với một cơ sở dữ liệu gen chuẩn để xác định mối liên kết gen-căn bệnh.
Xây dựng biểu đồ liên kết căn bệnh
Dữ liệu từ các thiết bị y tế và thông tin gen sau khi được so sánh được sử dụng để xây dựng biểu đồ liên kết căn bệnh, trong đó các mối liên kết giữa gen và căn bệnh được minh họa.
Phân tích dữ liệu và xây dựng mô hình liên kết:
ACCEL-VM500 tiến hành phân tích dữ liệu và xây dựng mô hình liên kết căn bệnh và gen.
Qua việc áp dụng các thuật toán phân tích dữ liệu và học máy, ACCEL-VM500 sẽ tạo ra một mô hình liên kết căn bệnh và gen cụ thể.
Đánh giá và xác nhận mô hình
Cuối cùng, mô hình liên kết căn bệnh và gen sẽ được đánh giá và xác nhận tính chính xác.
Các chuyên gia y tế có thể kiểm tra kết quả của mô hình và xác nhận xem liệu những liên kết và dự đoán có phù hợp với thực tế hay không.
Qua đó, họ có thể điều chỉnh mô hình để cải thiện hiệu suất và chất lượng dự đoán.
Lợi ích của ACCEL-VM500
Tăng hiệu suất và độ chính xác của chẩn đoán
Nhờ khả năng phân tích dữ liệu lớn và xây dựng mô hình liên kết căn bệnh và gen, ACCEL-VM500 giúp tăng cường hiệu suất và độ chính xác của quá trình chẩn đoán.
Những dự đoán dựa trên thông tin gen và dữ liệu y tế chi tiết giúp các chuyên gia y tế đưa ra quyết định chẩn đoán chính xác hơn.
Hiệu quả trong điều trị
Mô hình liên kết căn bệnh và gen từ ACCEL-VM500 giúp cung cấp thông tin chi tiết về căn bệnh và phản ứng với điều trị.
Điều này giúp các chuyên gia y tế lựa chọn phương pháp điều trị phù hợp nhất, từ đó nâng cao hiệu quả trong điều trị và giảm thiểu rủi ro.
Tiết kiệm chi phí
Nhờ khả năng phân tích dữ liệu lớn và dự đoán căn bệnh, ACCEL-VM500 giúp tiết kiệm chi phí cho các cơ sở y tế.
Việc chẩn đoán chính xác từ mô hình liên kết gen-căn bệnh giúp tránh được việc thử nghiệm không cần thiết và giúp ngăn ngừa sự gia tăng của căn bệnh.
Nâng cao chất lượng chăm sóc y tế
ACCEL-VM500 mang lại lợi ích to lớn cho việc nâng cao chất lượng chăm sóc y tế.
Từ việc cải thiện hiệu suất và độ chính xác của chẩn đoán đến việc tối ưu hóa phương pháp điều trị, ACCEL-VM500 góp phần nâng cao chất lượng cuộc sống cho bệnh nhân và giúp cải thiện hiệu suất làm việc của ngành y tế.
Có thể bạn quan tâm
Liên hệ
Địa chỉ
Tầng 3 Toà nhà VNCC
243A Đê La Thành Str
Q. Đống Đa-TP. Hà Nội
info@comlink.com.vn
Phone
+84 98 58 58 247
